14 年
手机商铺
公司新闻/正文
1433 人阅读发布时间:2026-03-07 16:57

纽约时间2026年2月26日,全球领-先的同种异体细胞药物研发公司Mesoblast Limited公布了其截至2025年12月31日的2026财年上半年(H1 FY2026)财务业绩与运营进展。报告显示,得益于其核心产品Ryoncil在美国的成功商业化上市,公司业绩迎来了决定性的转折点,财务状况显著改善,并有力支撑了其重磅管线的加速推进。

图源mesoblast官网
报告期内,Mesoblast的总收入达到5130万美元,而上年同期仅为320万美元。这一爆发式增长完全由Ryoncil的商业化销售驱动。截至报告期,已有49家移植中心完成Ryoncil的准入,目标是覆盖全美承担94%移植手术的64家核心中心。医保覆盖范围已扩展至2.8亿美国人口,包括联邦医疗保险和所有州的医疗补助计划。美国医疗保险和医疗补助服务中心于2025年10月1日为Ryoncil颁发了特定的HCPCS J-code(医保计费代码),这极大地便利了医院的计费和报销流程,推动了产品的广泛应用。
在真实世界临床环境中,84%的患者能够按照FDA批准的标签完成初始28天的治疗方案并存活,这一数据与此前的临床试验结果一致,验证了产品的实际疗效和用药指导价值。公司已锁定Ryoncil用于治疗成人激素难治性急性移植物抗宿主病的III期临床试验方案,将于3月提交机构审查委员会。成人患者群体规模约为儿童患者的三倍,这为Ryoncil的长期增长开辟了巨大空间。
作为首-个也是目前唯-一 一个获得美国FDA批准上市的间充质基质细胞疗法,Ryoncil不仅证明了MSC疗法的临床价值,更验证了其巨大的市场潜力,为后续MSC药物的定价和推广提供了参照系。在Ryoncil的光环下,Mesoblast的第二款产品rexlemestrocel-L正快速跟进,目前该疗法已被FDA授予再生医学先进疗法认定,享受快速审评待遇。
随着MSC从基础研究走向临床再到成功商业化应用,其对细胞培养环境的要求也日益严格,严格的质量控制是保障MSCs制剂品质的关键。MSC作为“活细胞药物”的特性,要求从供体筛选、原料控制到生产工艺的全链条建立严谨的GMP质量体系。
在干细胞疗法的前沿探索中,ACROBiosystems百普赛斯始终秉持精准创新的理念,为干细胞治疗从研究到生产的全流程提供坚实支撑。基于成熟的细胞培养平台、流式细胞术验证平台及GMP质量管理体系,我们开发了高品质GMP级别MSC扩增培养试剂盒——CelThera™ GMP MSC Expansion Kit (Phenol Red-free)(货号:GMP-MSCCM41),目前该产品已成功通过美国FDA药物主文件(Drug Master File, DMF)备案。
产品优势:
化学成分限定、无人源动物源成分、高安全性;
支持多源MSCs(脐带、骨髓、脂肪)扩增,且细胞活率稳定≥95%;
脐带来源MSCs连续3代扩增约5000倍,9天轻松收获上亿细胞;
表型鉴定“五阴三阳”稳定表达,三系分化干性稳定维持。

添加小助手了解更多产品信息!
实验数据1:脐带来源MSC原代分离并连续扩增


将华通氏胶组织块铺片于培养皿中培养,第9d时可观察到细胞爬出,第12d时细胞爬出数达到2.73E6,且细胞融合度达80%-90%;
3天传代,期间无需换液,平均每代扩增17倍,P3代扩增倍数累计约5000倍;
原代培养早于同类产品1-3d达到传代要求,细胞活率均保持≥95%;
低密度种植,3代收获上亿细胞,告别样本焦虑,珍稀样本零浪费。
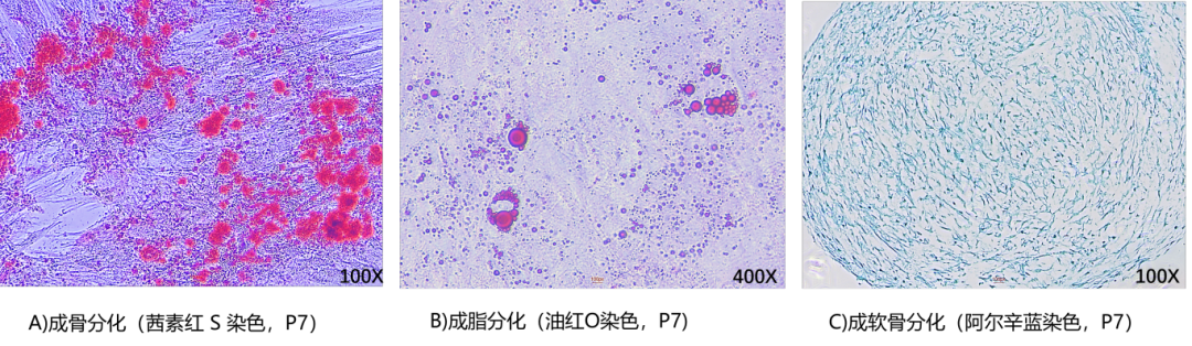
实验数据2:三系分化验证

本验证使用来源于人脐带的MSCs在ACRO CelThera™ GMP MSC Expansion Medium中传代培养,在P7代时进行诱导分化,结果显示经高代次传代后细胞仍保持多向分化能力(成脂分化、成骨分化、成软骨分化)。
数据3:脐带来源MSC细胞表面标志物鉴定

本验证分别对P1与P7 hUC-MSCs进行间充质细胞标志物检测;MSC特异性标志物CD73、CD90、CD105阳性率>95%,造血细胞及其他无关细胞标志物CD34、CD45、HLA-DR、CD14、CD19阳性率<2%,符合国际细胞治疗协会(ISCT)提出的间充质干细胞鉴定标准,说明该MSC表型稳定、纯度高,具备典型间充质干细胞特性。
数据4:3D大规模培养验证


接种1.25E7 cells于250mL体系,连续培养3代(5d/代),P3细胞扩增倍数达1000倍,14d收获细胞数达1.2E10;
连续高倍率扩增同时保持细胞活率≥95%;
ACRO培养基有效支持MSC微载体3D培养工艺,并在培养过程中保持高细胞附着率>50%,同时避免细胞结团,结团率低。

ACROBiosystems
inquiry@acrobiosystems.com
15117918562