14 年
手机商铺
公司新闻/正文
7095 人阅读发布时间:2024-05-10 16:21

活体组织一旦停止血液循环和物质代谢,就会因物质代谢障碍产生一系列的生物化学和组织化学的改变。固定是通过让组织中所有细胞和细胞外结构迅速死亡,以避免溶酶体的破坏作用,保持离体组织细胞与存活时形态相似,并防止氧化、腐败,以保存蛋白质与核酸的基本结构。
固定是保存组织器官,用于病理诊断、研究等所必须得步骤。
固定具有渗透、杀死细胞及微生物和固化组织等多方面的作用。
固定是后续所有处理步骤的基础。若组织固定不好,后续的制作过程中无法弥补,对后续诊断会有很直接的不良影响,因此正确的固定,是整个组织处理过程的一个重要环节。
及时固定:固定的组织越新鲜越好,可以更有效的保存组织细胞的形态和抗原性;
及时修整:对于大标本,剖检时应及时在取材部位附近剖开并且进行相关组织形态固定(如需),以便让目标部位及时被固定;
固定液:一般使用10%中性福尔马林或4%中性多聚甲醛,特殊的操作流程或染色方法则需要不同的固定液来进行处理;
固定液量:一般情况下,固定液量应为组织总体积的5-10倍;
固定时间:一般情况下,固定时间为24-36小时,不宜超过48小时。如未能及时进行脱水步骤,则可转到70%乙醇中暂存;
固定的温度:一般情况下,组织固定应在室温(19~27°C)下进行,如在2~8°C则应相应延长固定时间;
如未使用自动化设备,则应不定时搅拌使固定液进行循环。
● 10%中性福尔马林:甲醛是一种易挥发且有刺激性气味的液体,商品化甲醛浓度一般在37%~40%,福尔马林则一般使用缓冲液稀释商品化甲醛10X,所以福尔马林通常甲醛浓度为3.7%~4%。用缓冲液调控固定液的PH值为7.0,对后续染色影响相对较小;
● 4%多聚甲醛:4%多聚甲醛主要由多聚甲醛、磷酸盐、去离子水组成,pH为7.4。这种固定液适合于绝大多数组织和细胞的固定,是免疫组织化学和培养细胞固定中最常用的固定液之一;
● 丙酮:丙酮是一种易挥发的无色液体。丙酮作为固定液,适用于脑组织和冷冻组织。部分石蜡组织如固定不理想,可用丙酮进行二次固定用。丙酮也可替代无水乙醇做脱水机使用,适用于脂类的组织;
● AF:由95%乙醇和甲醛配置,常用于皮下组织中肥大细胞的固定。后续可直接用90%乙醇脱水;
● AFA:由95%乙醇、甲醛和冰12醋酸配置,因添加冰34醋酸使得该固定液穿透力强,固定快,常用于快速脱水固定和冷冻切片快速固定。如常规石蜡切片因固定不理想而染色效果不好,可在染色区用AFA固定5min,可改观染色效果。

常见固定液的穿透力
由于病理切片观察的局限性,因此取材的准确性十分重要,如未能取到目标或病变部分组织,则会造成镜下观察诊断时漏诊。如组织取材过大或过厚,造成后续步骤处理不好,影响切片和染色质量,则会造成镜下观察诊断困难甚至无法判读。因此取材需经过严格要求、专门培训。
设备和材料准备:
下排风的取材台或通风橱
组织盘和切板
动物组织盛放容器
手术器械
包埋盒
注意事项
1. 手术器械、容器等应进行严格的消毒处理,以避免污染和交叉感染。
2. 实验人员应接受专业培训,确保掌握正确的取材方法和操作技巧。同时,应了解并遵循实验室安全规范,确保自身和实验动物的安全。
结合大体观察,准确选取病变部位。
尽量显示病变全貌,选取具有代表性的部位并包括病变部位、交界处和相邻正常部位。
取材组织,推荐长宽均控制在2厘米以内,厚度3-4毫米。过大或过厚的组织常会固定不充分,进而影响后续处理和组织形态。
注意冷却血时间,应控制在30min以内。
在取材前,湿组织应经过充分固定,推荐固定时间24-48小时。视组织厚度而定。
每例湿组织取材前后,应清洁取材台面,避免污染和交叉感染。
取材刀应适合操作且锋利,不可挤压、来回切割,以免组织结果变形或造成损伤。
如需连续取材、如肿瘤,根据组织大小,推荐分为前中后三部分取材,如组织较大,则每隔5cm进行一次取材。

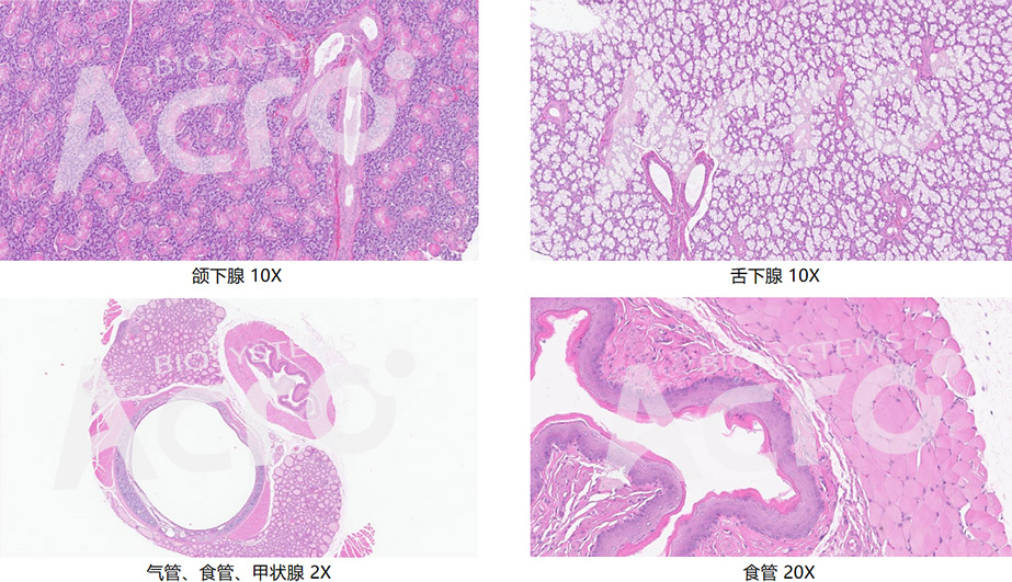
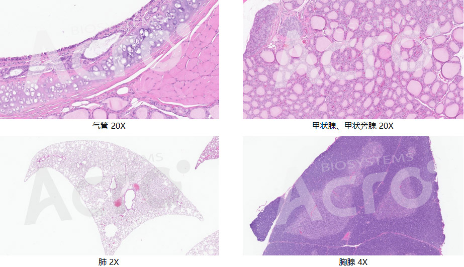
动物标本脏器取材推荐列表
大体观察与描述是让非剖检观察的医师了解大体病变的主要途径,正确且简洁易懂的描述可以使取材医师充分理解送检标本的情况。对病变的识别和取材的准确性则是后续镜检诊断准确的前提,只有两者同时保质保量,病理诊断的准确性和报告的及时性才能得到保障。百斯医学可为您提供固定后样本取材及切片染色服务,团队技术人员具有多年取材经验,可按照要求取到精准位置,为后期镜检诊断准确性提供有效保障。
新鲜组织固定完成到石蜡切片染色的过程中,需要经过组织样本处理和包埋两个环节。
组织样本处理
1.1 脱水:
脱水的目的在于将固定后组织内的水分逐渐置换出来,利于透明剂和石蜡的渗入。
脱水剂的种类可以分为非石蜡溶剂脱水剂和石蜡溶剂脱水剂,前者脱水后必须经过透明剂透明方可浸蜡,后者在脱水后可直接浸蜡。目前病理实验室常用的脱水剂为乙醇,属于非石蜡溶剂脱水剂,乙醇作为脱水剂的优点在于其与水的‘相似相溶原理’对梯度配比兼容性高且成本相对较低也更安全,利用浓度差可将组织水分置换出来,且多梯度乙醇脱水可以在迅速脱水的基础上较好的保持组织形态,利于透明和浸蜡更好地进行。
1.2 透明:
在乙醇脱水后的组织,需经过一种既与乙醇结合又与石蜡结合的溶剂作为媒介使石蜡浸入组织,这种溶剂会使组织呈现出不同程度的透明状态,过将这个过程称为透明。
目前病理实验室最常用的透明剂为二jiaben,一种无色透明但有刺激性味道的液体,二jiaben使用不当会让组织收缩变脆,因此二jiaben透明的时间在组织处理过程中也十分重要。
1.3 浸蜡:
浸蜡的目的是置换组织中的透明剂,石蜡渗入组织后,经冷冻使组织变硬为蜡块,利于切成薄片称为石蜡切片。
目前病理实验室通常使用熔点为58~60℃的石蜡将组织浸蜡,在密闭式全自动脱水剂中通常也会设置加压来加速浸蜡时间。
需要注意的是:在脱水之前需对脱水机进行程序设定:
前面也提到目前病理实验室都会选择用密闭式全自动脱水机,各个品牌的脱水机主要部件和功能都大同小异,而全自动脱水机使用过程中最重要的环节就是脱水程序的设置。
通常可以通过组织大小将脱水程序设置为大样本脱水程序和小样本脱水程序。大样本脱水程序时间长,小样本脱水程序时间短。
小样本脱水程序的梯度乙醇(70%、80%、90%和无水乙醇)脱水时间通常为常温每缸40 min~1 h、二jiaben透明时间通常为常温每缸30 min~40 min、石蜡浸蜡时间通常为每缸1 h,温度设置为高于石蜡熔点2℃左右。
大样本脱水程序的梯度乙醇(70%、80%、90%和无水乙醇)脱水时间通常为常温每缸1 h~1.5 h、二jiaben透明时间通常为常温每缸40 min~50 min、石蜡浸蜡时间通常为每缸1.5 h,温度设置为高于石蜡熔点2℃左右。
另外,脱水机需定期进行换液:
全自动脱水机需要定期换液,换液周期通常根据处理组织样本的数量决定,具体的换液方式也都根据不同病理实验室的实际情况而决定:可以全部换新也可以将第一缸试剂废弃,后缸前移然后补充最后一缸新试剂。
包埋
包埋是指将浸蜡完成的组织通过包埋剂和模具包埋成蜡块的过程。包埋剂种类有很多,目前最常用的包埋剂为石蜡,和浸蜡的石蜡相同。
包埋时要注意将取材时的切面或病灶所在切面向下包埋,要格外注意组织包埋面的平整,从而使切片时组织在同一个切面上,防止因包埋不平整造成切片时切面组织形态结构不完整。
目前病理实验室常用的包埋工具为包埋、冷台一体机,包埋模具也分大、小、深、浅等多种型号,要根据组织的大小选择模具,更利于切片。
百斯医学Leica全自动组织脱水机

Leica HistoCore PEARL 自动组织脱水机
百斯医学Leica包埋冷台一体机

Leica HistoCore Arcadia H 石蜡包埋机
相关包埋模具展示

任何组织的切片,如果不进行染色就看不到组织的细微结构、看不到细胞核,无法分辨出肿瘤的良恶性,不能向临床医生提供诊断依据。所以染色在病理组织形态学的诊断、科研和教学工作中具有重要的实用价值。HE染色法是组织学、胚胎学、病理学教学与科研中最基本、使用最广泛的技术方法。
苏木1精-伊红染色法 (hematoxylin-eosin staining),简称HE染色法,石蜡切片技术里常用的染色法之一。苏木1精染液为碱性,主要使细胞核内的染色质与胞质内的核酸着紫蓝色;伊红为酸性染料,主要使细胞质和细胞外基质中的成分着红色。
- 二甲1苯
- 梯度乙醇
- 苏木素染液
- 伊红染液
- 分化液
- 返蓝液
- 中性树胶固封剂
脱蜡要彻底。一般脱蜡彻底的切片呈透明状,脱蜡的彻底与否取决于环境温度、脱蜡液温度、脱蜡时间、切片数量等;
HE各染液的染色时间应根据组织类型不同、样本新旧、固定不同、环境温度不同、染液使用情况不同、切片厚度及切片数量来调整。一般来说新鲜组织易着色,陈旧组织较难着色;
染色过程中水洗需注意自来水的酸碱性。如自来水呈酸性,则易使苏木素脱色,如自来水呈碱性,则易加快水溶伊红在乙醇中的脱色,应根据染液情况和自来水情况调整冲洗时间;
脱水时,应控制切片在低浓度乙醇的时间,低浓度乙醇对伊红有洗脱作用;
根据不同苏木素,是否需要分化反蓝,以及分化反蓝的时间均不相同,水溶或淳溶的伊红着色效果也不相同,在染色过程中进行镜检能达到更好的染色效果;
中性树胶固封剂浓度要适中,浓度高时,不易散开、易产生气泡,浓度低时,易溢出切片、待二甲1苯挥发后树胶易分布不均产生空泡;
染色应在通风橱进行,避免或减少试剂对人体的伤害。
- 二甲1苯3缸,浸染5min;
- 无水乙醇2缸,浸染2min;
- 75%,85%,95%梯度乙醇各1缸,浸染1min;
- 自来水浸1min;
- 苏木素浸染5-8min;
- 自来水冲洗;
- 分化:根据分化液不同,数秒或数分钟不等;
- 自来水冲洗;
- 反蓝:根据返蓝液不同,数秒或数分钟不等;
- 自来水冲洗;
- 伊红浸染1-5min;
- 自来水冲洗;
- 75%、85%、95%梯度乙醇各1缸,浸染10-20s;
- 无水乙醇2缸,浸染1-2min;
- 二甲1苯2缸,浸染2min;
- 中性树胶固封。
- 组织完整;
- 厚薄均匀;
- 染色清晰,对比度高;
- 无明显褶皱、破损、刀痕、裂隙等;
- 着色无污染;
- 固封适中,无气泡、空腔,透明度好。
染色过程中切片脱落
● 组织本身如凝血块、血栓、分泌物等,干涸或过硬的组织及组织破碎等,染色时易脱落。可尝试使用防脱片;
● 组织脱水、透明不佳,石蜡未完全浸透,组织较软,切片脱蜡时收缩,染色时又膨胀,进而易脱片。可尝试重新脱水;
● 组织脱水浸蜡时间过长或温度过高,组织过硬、过脆,切片时不易完整,且易脱片。可尝试在切面敷乙醇或乙醇甘油后切片。
切片染色不均
● 组织固定不当,固定好的部位着色清晰,未固定好的部分着色模糊;
● 组织脱水不佳,部分组织内含水,导致浸蜡不充分,造成部分染色出现灰染可尝试重新脱水;
● 切片薄厚不均或有横纹;
● 切片脱蜡不充分,含蜡部分着色浅或不着色;
● 切片上有气泡,导致与染液接触不充分。
染色片有污染
● 展片台,水面有杂质或碎屑;
● 切片机刀头有组织碎屑或杂质,易粘黏到蜡带上;
● 染色液中有污染、碎屑、色素颗粒、沉渣等。


